ばばこども歯科クリニック

 〒950-2004 新潟市西区平島1-3-2  025-201-3900

 

フッ化物塗布     

 1回1,100円です(別途診察料がかかります)。

 


マウスガード

 透明シート1枚(厚さ3mm)で製作した場合は5,500円,シート2枚(厚さ5mm)で製作した場合は7,700円です。シート2枚は厚く違和感が大きくなるので,初めはシート1枚での製作をお勧めします。

 カラーシート単色(厚さ3.8mm)で製作した場合は6,600円です。


        カラー単色のマウスガードです














矯正治療

 初診料は3,300円,検査料は33,000です。相談料,基本料金,技術料といったものは設定しておりません。

 すでに通院中の方は,話のついでに歯並びについてご相談ください。

 初診の方はまずお話をうかがい,大まかに治療方針や装置と料金などについて説明させていただきます。そのうえで,当院で治療を希望される場合に検査をさせていただくことになります。検査で歯と歯並びの状態や骨格について詳しく調べ治療方針を決定し,再度お話させていただくことになります。そしてご了承いただき治療に入ることになります。


①乳歯が抜けた後に入れておく装置(保隙装置)は1装置11,000円から

 33,000円です。※検査が必要ない場合があります。

②乳歯列から歯の生え替わり時期に使用する装置は1装置22,000円から

 55,000円です。

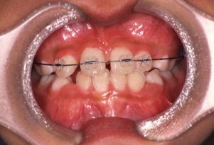
③歯並びの部分的矯正治療(セクショナルブラケット装置)では66,000

 円,全体的矯正治療(マルチブラケット装置)では220,000円です。


 使用する装置の料金を,使用(装着)開始日にお支払いいただくことになります。

 

          セクショナルブラケット装置の例












           マルチブラケット装置の例












 

 上記①では3か月毎に通院していただき経過をみていきます。むし歯の健診やフッ素塗布で通院していただいている場合は,別途経過観察料は必要ありません。

 上記②では1か月に1回通院していただき,1回3,300円の経過観察料となります。

 上記③では3〜4週に1回通院していただき,1回5,500円の処置料となります。