ばばこども歯科クリニック

 〒950-2004 新潟市西区平島1-3-2  025-201-3900

 

むし歯の予防


 歯みがき指導,歯の機械的清掃(クリーニング),甘味摂取の指導などを行います。またご希望に合わせて,フッ化物塗布(フッ素),シーラント処置(予防的な歯のつめもの)を行います。


  シーラント:着色した溝などむし歯の危険地帯を封鎖します   











 むし歯は感染症であり,幼児期にむし歯の原因菌は身近にいる大人から子どもの口へと移って定着します。そこでお子さんのむし歯予防でまず大切なのは親の歯が健康であることです。



むし歯の治療


 むし歯の程度によってはレーザーを用いて治療します。中等度くらいまでのむし歯では,歯を削る量を最小限にし,白い材料でつめます。歯のすき間のむし歯では銀歯で治療したほうが望ましい場合もありますし,歯質の欠損が大きい場合や神経を取って治療した場合は(歯がもろくなっているので),そのままつめて治療したのでは乳歯が割れてしまう恐れがあるので,銀歯をかぶせて治療したほうが望ましくなります。


 治療方法については,ご相談ください。



歯並びの治療


 当院では,4〜5歳から中学・高校生くらいまでを対象に治療いたしております。3歳以下では治療器具を口にはめていられなかったりするので治療には時期尚早と考えますが,将来的な治療の予想をお伝えできますのでご相談ください。


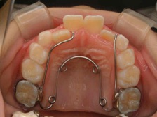
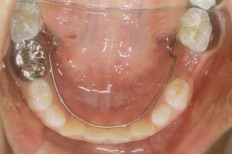
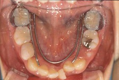
 早期に歯並びの問題点に対処することで,その後の乱れを少なくできると考えます。例えば,乳歯が早く抜けてしまった場合やむし歯で抜くことになった場合に,抜けた場所を放っておくと後ろの歯が前に寄せてきて将来永久歯の生える場所が失われます。そうならないように抜けた乳歯の代わりに装置を入れておき,将来生えてくる永久歯のための場所を確保しておきます。



    乳歯が早く喪失したので,替わりに装置を入れておきます。

     空隙の後の歯が前に寄ってこないようにします。










 また,反対咬合(受け口)や上顎前突(出っ歯)では,成長期にあごの成長を利用した治療がありますので,小児期から治療を検討することになります。












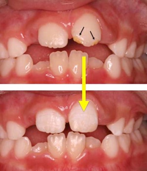
 前歯のすき間や重なりも早期に治療したほうが良い場合があり,その後の歯並びに大きな問題を生じないですむケースがあります。歯の生えるスペースが足りない場合に,歯並びを少し広げることで歯の生え替わりがスムースにいくこともあります。



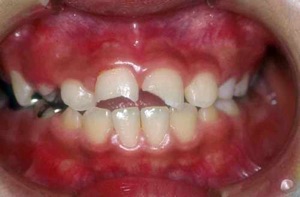
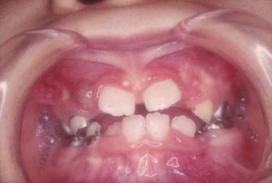
   歯が1本内側に入っています。内側から前に押し出します。











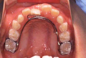
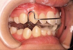
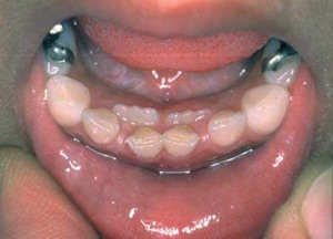
      歯並びを横に広げてスペースをつくります。












 いったん部分的に治療しておき,歯が全て永久歯に生え替わった時点で必要があれば仕上げの治療を行います。仕上げの治療では,マルチブラケット装置を使用します。



その他の治療について


      「乳歯が抜けずに永久歯が生えてきた」











乳歯の裏側に永久歯が生えてきています。乳歯があまりグラグラしていなかったりして,なかなか抜けません。乳歯を抜いてあげると,永久歯は生えながら前へ移動します。



         「歯の色が黒くなってきた」











歯をぶつけた後にだんだん変色してきました。歯をぶつけたせいで,歯の神経・血管が死んでしまったと考えられます。変色の初期では,神経・血管が再生してくることもあるのでしばらく経過をみますが,完全に神経・血管が死んでしまったと判断したら,いわゆる「神経を取る」治療をします。



       「生えてきた歯の形(色)がおかしい」


















エナメル質の形成不全です。歯が正常に作られなかったために表面が欠たようになっています。むし歯の治療に準じて,白い材料で治療します。



小さなお子さんや不安の強いお子さんへの対応


 3歳くらいになるとだんだん他人の言うことを理解できるようになります。そこでコミュニケーション能力からみて,3歳が上手に歯科治療を受けられるようになる年齢とされています。当院では治療の前段階としてまずトレーニングを行い,お子さんと仲良くなりながら治療器具に慣れてもらい,治療に対する不安や恐怖をできるだけ取り除いてから治療に入ります。トレーニング中であっても,お子さんの反応をみて可能であれば応急の処置をしていきます。


 ひとくちに「むし歯」といっても,緊急性の無い場合にはしばらく様子をみることも可能です。特に3歳未満の小さいお子さんでは,恐がって泣いているのを抑えつけて治療するよりは,むし歯が進まないように指導などさせていただき,保護者のご協力のもと様子をみながら,増齢を待って治療に入ることがお子さんにとって負担が少ないと考えます。3歳以上であっても,あまりにも恐怖心が強くトレーニングが進まないような時はしばらく様子をみていくことになります。


 しかし痛みが激しくて食べられなかったり眠れないような場合には,トレーニングを行ったり様子をみたりしている余裕がありません。まず痛みをとってあげることが第一になりますから,治療が優先されます。まだ治療に協力的でないお子さんで早急に治療が必要な場合は,当院においても体を抑えながらの治療になります。



障がいのあるお子さんへの対応


 自閉症候群児,ダウン症候群児など障がいのあるお子さんの歯科診療を行っております。大学勤務の16年間は「障害児歯科センター」も担当しており,多くの障がい児・者の方と接してまいりました。


 経験上,上述のトレーニングが有効なお子さんは少なくなく,普通にむし歯の治療を行えるお子さんは多いと思っております。障がい児であるからといって抑えつけて治療を始めることには反対であり,十分に反応をみてから対応を決めるべきと考えます。当院では一次医療機関として健診や治療などを行いますが,全身麻酔下での治療が望ましい場合など,当院で対応しきれない部分に関しては大学病院へご紹介させていただくことがございます。



当院使用のレーザー機器について


当院で治療に用いるレーザー機器は2種類あります。それぞれ出力を変えることにより色々な使い道があります。(保険適応内の使用法)



1.エルビウムヤグレーザー












 ①むし歯を削る時に使用します。音が静かで振動も少なく痛みは感じにくいのですが,削る効率が悪いので初期むし歯で用いたり,従来の器具と併用します。


 ②歯の神経を取る治療で,歯の中を殺菌するために使用します。


 ③歯周ポケット内の歯石を取るのに使用します。歯石を取るだけでなく,歯周ポケット内の殺菌に優れ,歯周病治療に効果的です。




2.炭酸ガスレーザー












 ①従来のメスに代えて切開に使用します。出血が少なく,傷の治りも早いのが利点です。


 ②抜歯後にレーザーを当てると止血が早く,痛みも軽減できます。


 ③口内炎の治りを促進します。塗り薬と違って,被膜を作るのですぐに痛みがおさまります。



   舌の裏にできたふくらみ     唇にできたふくらみ









 小さな唾液腺がつまってふくらんでいます。つまった唾液腺を切除して治療します。




         上唇小帯の異常です。











    歯のすき間の原因になっています。小帯を切除します。



マウスガードについて


 お子さんの歯科的問題のひとつにスポーツ外傷があります。スポーツの最中に歯をぶつけて,歯が折れてしまったり,歯がグラグラすることがあります。











スポーツ外傷を最小限にするためにはマウスガードの装着が効果的です。ラグビーのように装着が義務になっている競技もありますが,サッカー,野球,バスケット,空手,柔道なども装着が望まれます。歯科医院では,既製品よりもフィットしたマウスガードが製作できます。                      (保険適応外)



          待合室に展示してあります











レーザーとむし歯予防について


レーザー機器はむし歯予防にも有効です。



1.エルビウムヤグレーザー


 歯の溝を弱いレーザーで処理することで歯質強化がはかれます。また,フッ素を塗布する前にレーザー処理を行うと,歯に対するフッ素の取込みが良くなります。



2.炭酸ガスレーザー


 フッ素を塗布した後に,レーザーを照射するとフッ素が蒸着され,フッ素の取込みが良くなります。